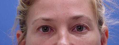
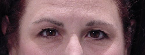
With an exacting eye for detail, Dr. Garth Fisher performs blepharoplasty to restore brightness and balance—refining the eyelids with subtlety, restraint, and timeless aesthetic sensibility.
When to Consider Blepharoplasty
While a blepharoplasty is commonly considered one of the most rejuvenating procedures, it is still a surgical procedure and requires careful consideration. Dr. Fisher leaves no stone unturned in ensuring his patients are legitimate candidates before performing this procedure. In this way, he is thorough in striving towards the best eyelid lift in Beverly Hills. While a consultation with Dr. Fisher will ultimately determine your candidacy, you can peruse the following issues effectively corrected by an eyelid lift:
- Baggy, drooping upper eyelids
- Excessive skin in the upper lids, obscuring vision
- Drooping lower eyelids, exposing more of the eye than is necessary
- Excess, sagging skin on the lower eyelids
- Bags under the eyes























